
2023Äê4ÔÂ14-16ÈÕ£¬£¬£¬£¬£¬ÓÉÖйúÎÀÉúÐÅÏ¢Ó뿵½¡Ò½ÁÆ´óÊý¾Ýѧ»áºÍ¡¶ÖйúÎÀÉúÐÅÏ¢ÖÎÀíÔÓÖ¾¡·ÉçÍŽá¾ÙÐеÄ2023£¨17th£©ÖйúÎÀÉúÐÅÏ¢ÊÖÒÕ/¿µ½¡Ò½ÁÆ´óÊý¾ÝÓ¦Óý»Á÷´ó»áôßÈíÓ²¼þÓ뿵½¡Ò½ÁƲúÆ·Õ¹ÀÀ»á£¨2023 CHITEC£©ÔÚ°²»ÕºÏ·Ê˳ËìÕÙ¿ª¡£¡£¡£¡£¡£¡£
4ÔÂ15ÈÕ
ÖйúÎÀÉúÐÅÏ¢ÊÖÒÕ½»Á÷´ó»á
µÚ¶þ½ì¡°×ð¹Ú±¡±Êý×ÖÒ½ÁÆ¿µ½¡Á¢ÒìЧÀÍ
µä·¶°¸Àý´óÈü»ñ½±Ãûµ¥½ÒÏþ
¡°ÌìÏÂÊý×ÖÒ½ÁÆ¿µ½¡Á¢ÒìЧÀͰ¸Àý¡±
ÒÔÎÂÖÝÊÐÎÀÉú¿µ½¡ÐÅÏ¢ÖÐÐÄΪÖ÷Ì壬£¬£¬£¬£¬ÍŽáÐÇ¿ÕÓéÀÖ-ÃÎÏëÕÕ½øÏÖʵ,ŬÁ¦³É¾ÍδÀ´!¡¢ÖйúµçÐŹɷÝÓÐÏÞ¹«Ë¾ÎÂÖÝ·Ö¹«Ë¾ÅäºÏÉ걨µÄ"»ùÓÚÇøÓòÓ°ÏñÔÆµÄCT·Î½á½ÚAIÆÊÎöЧÀÍ"°¸Àý¾ÓÉÖÊÁÏÉ걨¡¢ÏµÍ³ÑÝʾ¡¢×¨¼ÒÆÀÉó²¢¾×éί»áÈ·ÈÏ£¬£¬£¬£¬£¬ÈÙ»ñ2023CHITEC¡°×ð¹Ú±¡±Êý×ÖÒ½ÁÆ¿µ½¡Á¢ÒìЧÀͰ¸Àý¡£¡£¡£¡£¡£¡£
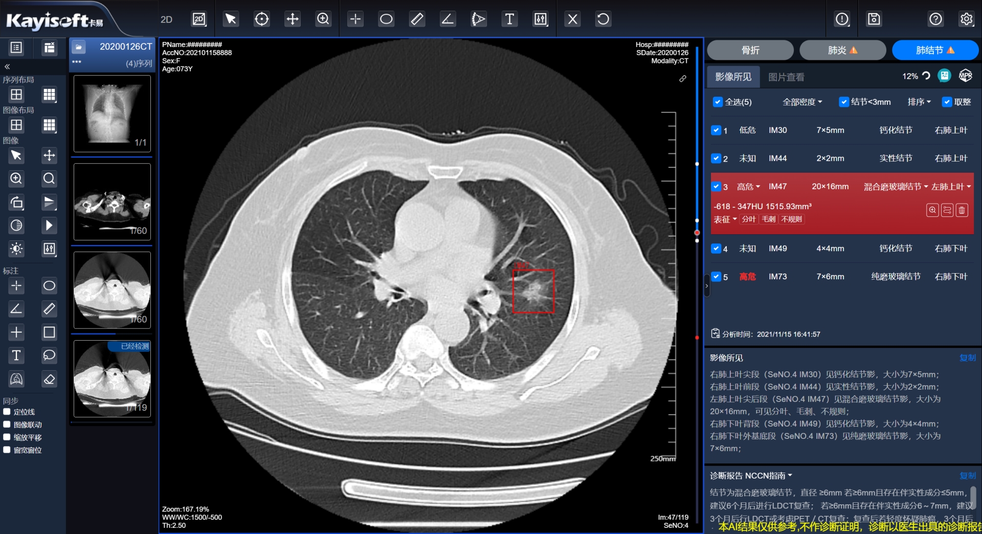
»ùÓÚÇøÓòÓ°ÏñÔÆµÄCT·Î½á½ÚAIÆÊÎöЧÀÍ

ͨ¹ýÈ«ÊÐҽѧӰÏñÔÆÆ½Ì¨Íê³ÉÇøÓòÒ½ÁÆÓ°ÏñÊý¾ÝÔÆ»¯ÖÎÀíÊý¾ÝͳһÊÕÂÞ£¬£¬£¬£¬£¬ÊµÏÖÒÔÊý¾ÝΪ»ù´¡£¡£¡£¡£¡£¡£¬£¬£¬£¬£¬ÍŽá AI ÆÊÎöЧÀͷνá½ÚÖÇÄܱê×¢£¬£¬£¬£¬£¬ÔÚ¶Ìʱ¼äÄÚÆÊÎöÍê³É²¢ÌìÉú¡°AI½á¹¹»¯±¨¸æ¡±ºÍ¡°Ö¸Äϲο¼¡±À´ÐÖúÕï¶ÏÒ½Éú²Î¿¼£¬£¬£¬£¬£¬Ìá¸ßÊÂÇéЧÂÊ¡£¡£¡£¡£¡£¡£

AIÆÊÎöЧÀÍ+È˵ÄÓÅÊÆ×éºÏ£¬£¬£¬£¬£¬ÆäÓ°Ïì²»µ«½öÔÚÓÚïÔÌÖØ¸´ÀͶ¯£¬£¬£¬£¬£¬ÌáÉýÊÂÇéЧÂÊ£¬£¬£¬£¬£¬ïÔÌÒòÆ£Àͱ¬·¢µÄ©ÕïÕ÷Ï󣬣¬£¬£¬£¬¸ü´óµÄ×÷ÓÃÔÚÓÚ×ÊÖúÒ½ÉúÖ°ÄÜÈöɣ¬£¬£¬£¬£¬ºÏÀíÓÅ»¯ÈËÁ¦×ÊÔ´ÉèÖ㬣¬£¬£¬£¬ÈÃÒ½ÉúÌù½ü»¼Õߣ¬£¬£¬£¬£¬Ô½·¢×¨×¢ÓÚÓëÁÙ´²ÖÎÁÆÏàÍŽáµÄÖÇ»ÛÀͶ¯¡£¡£¡£¡£¡£¡£

±¾ÏµÍ³Ö§³ÖÓëÇøÓòµÄÎÂÖÝÊÐҽѧӰÏñÔÆÆ½Ì¨¶Ô½Ó£¬£¬£¬£¬£¬°²ÅÅÉÙÁ¿µÄЧÀÍÆ÷¼´¿ÉÖª×ãÇøÓòAIÓ°ÏñÓ¦Óü°ËãÁ¦ÒªÇ󣬣¬£¬£¬£¬ïÔÌЧÀÍÆ÷×ÊÔ´ÏûºÄ£¬£¬£¬£¬£¬ËùÓÐAIЧ¹ûµÄÊý¾Ý¿É¾ÙÐлã×Ü£¬£¬£¬£¬£¬ÎªÎ´À´AIµÄ¶¯Ì¬¸ú×ٺʹóÊý¾ÝÆÊÎöÌṩǿÓÐÁ¦µÄ»ù´¡Ö§³Ö¡£¡£¡£¡£¡£¡£

AIÆÊÎöЧÀÍ+Ó°ÏñÔÆµÄÓÅÊÆ×éºÏ£¬£¬£¬£¬£¬Äܹ»Í³³ïЧÀÍÆ÷×ÊÔ´£¬£¬£¬£¬£¬Í³Ò»Î¬»¤±ãÓÚÖÎÀí£»£»£»£»£»£»£»×ÊÔ´·ÖÅÉÔ½·¢Ôȳƣ¬£¬£¬£¬£¬Ê¹µÃϲãÒ½ÔºÒ²Äܾ߱¸´óÐÍÈý¼×Ò½ÔºµÄÕï¶ÏÄÜÁ¦£»£»£»£»£»£»£»¸÷Ò½Ôº¿Éͨ¹ý»ùÓÚÓ°ÏñÔÆ·Î½á½ÚAIÆÊÎöЧÀÍʵʱµ÷ÔÄÓ°Ïñ£¬£¬£¬£¬£¬Õë¶ÔÈ«ÊйæÄ£Äڵķνá½Ú²¡Àý¾ÙÐÐÁ¿»¯Ö¸±êµÄͳ¼ÆÆÊÎö¡£¡£¡£¡£¡£¡£
δÀ´Õ¹Íû
»ùÓÚÐÅ´´¡¢È˹¤ÖÇÄÜ¡¢Ò½ÁÆÓ°Ïñ´óÊý¾ÝµÈ£¬£¬£¬£¬£¬Õã½ÐÇ¿ÕÓéÀÖ-ÃÎÏëÕÕ½øÏÖʵ,ŬÁ¦³É¾ÍδÀ´!ʩչÁ¢Ò쾫Éñ£¬£¬£¬£¬£¬ÓÂÓÚ¿ªÍØÊµ¼ù£¬£¬£¬£¬£¬Î´À´½«ÀÎÀÎÎ§ÈÆ¡°¿µ½¡Öйú2030¡±½¨ÉèÆ«Ïò£¬£¬£¬£¬£¬¾Û½¹Ò½ÁÆÎÀÉú¿µ½¡ÁìÓòÊý×Ö»¯Á¢Ò죬£¬£¬£¬£¬ÕÆÎÕÊý×Öʱ´ú¸ßÖÊÁ¿Éú³¤µÄÕ½ÂÔ»úÔµ£¬£¬£¬£¬£¬Çý¶¯Ò½ÁÆÎÀÉú¿µ½¡ÊÂÒµÊý×Ö»¯Éý¼¶£¬£¬£¬£¬£¬ÖúÍÆ¿µ½¡ÖйúÉú³¤½¨Éè¡£¡£¡£¡£¡£¡£